Logo
홈
레슨
노트
사전
JLPT 연습
동영상
업그레이드
logo
Home
language
Logo Japanese
todai.easylife@gmail.com
(+84) 865 924 966
315 Truong Chinh, Ha Noi
www.todaiinews.com
DMCA.com Protection Status

Todaii Japanese 소개

브랜드 스토리자주 묻는 질문사용자 가이드약관 및 정책환불 정보

소셜 네트워크

Logo facebookLogo instagram

앱 버전

AppstoreGoogle play

기타 앱

Todaii German
Todaii French
Todaii Korean
Todaii English
Todaii Spanish
Todaii Chinese
DMCA.com Protection Status

저작권은 eUp Technology JSC에 있습니다

Copyright@2025

Loading...

번역 추가

  1. 기사 상세정보
  2. 번역 추가
<span class="" word="2">2</span><span class="" word="2">2</span><ruby ><rb><span class="jlpt-n1" word="歳">歳</span></rb><rt>さい</rt></ruby><span class="" word="の">の</span><span class="jlpt-n2" word="モデル">モデル</span><span class="" word="、">、</span><ruby ><rb><span class="unknown" word="豊島">豊島</span></rb><rt>とよしま</rt></ruby><ruby ><rb><span class="jlpt-n4" word="心">心</span></rb><rt>こころ</rt></ruby><span class="jlpt-n1" word="さん">さん</span><span class="" word="が">が</span><span class="" word="X">X</span><ruby ><rb><span class="jlpt-n4" word="線">線</span></rb><rt>せん</rt></ruby><ruby ><rb><span class="jlpt-n5" word="写真">写真</span></rb><rt>しゃしん</rt></ruby><span class="" word="を">を</span><span class="" word="S">S</span><span class="" word="N">N</span><span class="" word="S">S</span><span class="" word="で">で</span><ruby ><rb><span class="jlpt-n1" word="公開">公開</span></rb><rt>こうかい</rt></ruby><span class="" word="し">し</span><span class="" word="て">て</span><ruby ><rb><span class="jlpt-n3" word="話題">話題</span></rb><rt>わだい</rt></ruby><span class="" word="に">に</span>
22歳さいのモデル、豊島とよしま心こころさんがX線せん写真しゃしんをSNSで公開こうかいして話題わだいに
22歳さいのモデル、豊島とよしま心こころさんがX線せん写真しゃしんをSNSで公開こうかいして話題わだいに

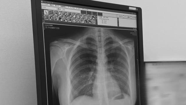
22歳にじゅうにさいの日本人にほんじんモデル、豊島とよしま心こころさんが、自分じぶんの健康診断けんこうしんだんのX線せん写真しゃしんをSNS「X」に投稿とうこうしました。

この投稿とうこうはとても人気にんきになり、4300万回よんせんさんびゃくまんかい以上見みられ、5万8000件ごまんはっせんけん以上の「いいね」がつきました。

豊島とよしまさんは「私わたしの肺はいはとてもきれいです」と書かいて、X線せん写真しゃしんを見みせました。

写真しゃしんには体からだの形かたちや骨ほねがはっきりと見みえていて、多おおくの人ひとが「すごい」「珍めずらしい」とコメントしました。

しかし、専門家せんもんかの中なかには「背骨せぼねが少すこし曲まがっているように見みえる」と言いう人ひともいて、「姿勢しせいに気きをつけてください」とアドバイスしました。

また、この投稿とうこうでX線せん写真しゃしんが健康けんこうチェックにとても大切たいせつだと、あらためて多おおくの人ひとが考かんがえました。

豊島とよしまさんの投稿とうこうは、健康診断けんこうしんだんや毎日まいにちの姿勢しせいについて考かんがえるきっかけになり、多おおくの人ひとに良よい影響えいきょうを与あたえました。